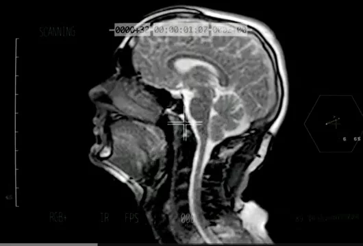
Sivu, muzyk z Londynu stworzył teledysk... filmując pracę swojego mózgu w czasie śpiewania piosenki. Piosenkarz śpiewał utwór "Better Man Than He" podłączony do skanera MRI - podaje tvn24.pl.
Teledysk jest jednocześnie formą promocji badań nad wrodzonym rozszczepem wargi i podniebienia, które prowadzi St Bartholomew’s Hospital w Londynie. Skaner MRI, do którego podłączony był Sivu w czasie śpiewania to narzędzie do diagnozowania zmian w twarzoczaszce.
Skan mózgu piosenkarza został po zarejestrowaniu poddany obróbce przez reżysera Adama Powella i specjalistę od efektów specjalnych Lewisa Kyle'a White'a, którzy stworzyli teledysk z nagrań. - Chciałem dać fanom małą niespodziankę w postaci oszałamiającego wideo. Zwłaszcza, że to mój pierwszy teledysk w karierze. Zgoda na to, by wszyscy zajrzeli do mojego mózgu, jest czymś niesamowitym - mówił o swoim projekcie Sivu, który zyski z oglądania umieszczonego na YouTube wideo ma zamiar przeznaczyć na badania nad rozszczepem wargi i podniebienia u dzieci.
arb, TVN24.pl
Skan mózgu piosenkarza został po zarejestrowaniu poddany obróbce przez reżysera Adama Powella i specjalistę od efektów specjalnych Lewisa Kyle'a White'a, którzy stworzyli teledysk z nagrań. - Chciałem dać fanom małą niespodziankę w postaci oszałamiającego wideo. Zwłaszcza, że to mój pierwszy teledysk w karierze. Zgoda na to, by wszyscy zajrzeli do mojego mózgu, jest czymś niesamowitym - mówił o swoim projekcie Sivu, który zyski z oglądania umieszczonego na YouTube wideo ma zamiar przeznaczyć na badania nad rozszczepem wargi i podniebienia u dzieci.
arb, TVN24.pl
