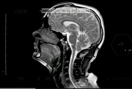
Przedmurze (łac. claustrum) to warstewka istoty szarej mózgu o grubości ok. 2 mm. Jest kluczowa dla powstawania świadomości. Najwyraźniej to przedmurze integruje wiele czynników świadomości w jedną, doświadczaną przez człowieka całość
Gdzie jest w ciele dusza? – Bóg jeden wie – mówili średniowieczni filozofowie. – Ile waży dusza? – 21 gramów – odpowiadał amerykański uczony Duncan MacDougall, który na początku XX w. ważył umierających ludzi tuż przed i tuż po śmierci. MacDougall opublikował pracę naukową, w której dowodził, że ludzie tracą na wadze w momencie odejścia z tego świata właśnie 21 gramów. Jego badania ze współczesnej perspektywy są oczywiście kuriozalne, ale zamysł był ambitny i szlachetny. MacDougall oraz inni badacze pragnęli poznać istotę duszy – jednego z najbardziej ulotnych i niejasnych konceptów na styku medycyny, teologii i psychologii. – Za czasów Arystotelesa cała psychologia była nazywana właśnie nauką o duszy – mówi dr Bartłomiej Dobroczyński, psycholog z Uniwers-ytetu Jagiellońskiego i autor eseju „Szlachetny banita na wygnaniu. Czy jest miejsce dla duszy w psychologii?”. – Ale dziś słowo „dusza” ustąpiło miejsca pojęciom takim, jak psychika czy umysł – wyjaśnia. – Dlaczego? W wielkim skrócie, badacze z czasem zaczęli postrzegać duszę jako coraz bardziej zależną od ciała. W konsekwencji z języka nauki duszę wyparła zależna od ciała świadomość.
Prądem w padaczkę
Jednak nowa nazwa niewiele zmieniła. Współczesne badania nad świadomością to dziedzina niemal tak samo zagadkowa jak nauka o duszy, pełna pytań. Czym jest świadomość? Czy ma w ciele jakiś konkretny nośnik? Do odpowiedzi na to ostatnie pytanie zbliżyli się właśnie badacze z amerykańskiego George Washington University. Dr Mohamad Koubeissi wraz z zespołem znalazł w ciele pacjenta przełącznik świadomości. Jak do tego doszło? Naukowcy badali pacjentów chorych na padaczkę, czyli chorobę związaną z zaburzeniami czynności mózgu. Ataki padaczki wywołują niespodziewane wyładowania elektryczne w mózgu, przez co pacjent traci kontrolę nad ciałem, a często także nad świadomością. Leczenie polega na chirurgicznym usunięciu fragmentu mózgu albo na kierowaniu do mózgu prądu elektrycznego, by zmienić błędną aktywność jego niektórych obszarów.
Gdy głowa chorych na padaczkę staje otworem – dosłownie i przenośni – dla naukowców, może dochodzić do niespodziewanych odkryć. Tak było w przypadku 54-letniej kobiety chorej na padaczkę. Dzięki prądowi o niskiej częstotliwości, dostarczanemu przez czaszkę głęboko do mózgu, dr Mohamad Koubeissi zdołał ograniczyć częstotliwość napadów padaczki o 92 proc. Metoda jest obiecująca, bo lekarz przy tym nic w głowie pacjentki nie popsuł – strumień elektronów nie uszkodził jej pamięci, nie wpłynął na mowę ani żadne czynności poznawcze. – Nasze badania mogą doprowadzić do tego, że wycinanie części mózgu u wielu pacjentów z padaczką przestanie być koniecznością – cieszy się Koubeissi. A przy okazji ma jeszcze jeden powód do radości.
Zaczęło się, gdy Koubeissi zamiast prądu o niskiej częstotliwości skierował głęboko w czaszkę pacjentki prąd o częstotliwości wysokiej. Gdy tylko pobudził prądem część mózgu zwaną przedmurzem, pacjentka straciła świadomość. A gdy prąd został wyłączony – natychmiast ją odzyskała. Ten zabieg powtarzano wielokrotnie w ciągu kilku dni – z identycznym skutkiem. Za każdym razem pacjentka pod wpływem prądu traciła świadomość, choć nie traciła przytomności. Jej wzrok gasł, przestawała reagować na głos i obecność lekarzy, a oddech ulegał spowolnieniu. Po przebudzeniu w ogóle nie pamiętała, co się stało. Odkryty sterownik świadomości działał jak prawdziwy pstryczek. To pierwszy przypadek w historii, gdy badaczom udało się sterować pojawianiem się świadomości poprzez elektrostymulację pojedynczego obszaru mózgu. Choć od ponad stu lat naukowcy przykładają do głowy badanych elektrostymulatory, osłabiając lub wyłączając różne obszary mózgu, to dotychczas nikt nie był w stanie wyłączyć świadomości. Teraz badacze planują powtórzenie eksperymentu na większej liczbie osób.
Zapłon świadomości
Choć wcześniejsze wyniki badań sugerowały, że przedmurze jest powiązane ze świadomością, mózgowy włącznik został poruszony dopiero teraz. Dr Koubeissi porównał cały proces do uruchamiania samochodu. – Auto potrzebuje wielu rzeczy, aby ruszyć: paliwa, silnika, skrzyni biegów – tłumaczy. – Ale jest tylko jeden moment, w którym wszystko razem zaczyna wspólnie działać – przekręcenie klucza w stacyjce. Chociaż świadomość to skomplikowany proces, być może właśnie odnaleźliśmy ten klucz.
Badania nad „zapłonem świadomości” mogą się przydać w leczeniu stanów związanych z jej obniżeniem lub wyłączeniem. Pobudzanie przedmurza może np. pomóc wielu pacjentom pogrążonym w śpiączce. Może się też przydać w kognitywistyce, czyli nauce zajmującej się wyjaśnianiem procesów myślowych. – Wyniki badań rzeczywiście sugerują, że istnieje struktura konieczna do posiadania jakichkolwiek świadomych doznań – mówi Błażej Skrzypulec, doktorant kognitywistyki na Uniwersytecie Jagiellońskim. – Dalsze badania przedmurza mogą przynieść ciekawe wnioski. Ale pozostaje pytanie, na ile jest to samodzielna struktura. Niektórzy kognitywiści uważają, że nawet aktywacja całego układu nerwowego to za mało, aby powstała świadomość. Według nich konieczna jest też interakcja ciała człowieka ze środowiskiem. Zdaniem Skrzypulca na pewno warto byłoby zbadać, co dokładniej oznacza opisana w badaniach przytomność pozbawiona świadomości. – Można by sprawdzić, do jakich działań jest zdolna taka przytomna, ale nieświadoma osoba – mówi Skrzypulec. – Gdyby ktoś przeprowadził te badania, byłyby one niezmiernie ważne w dyskusji na temat natury świadomości i etapów jej powstawania.
Pozostaje jednak pytanie fundamentalne – czy nowe odkrycie naukowców pozwala zaryzykować stwierdzenie, że dusza ma siedzibę w mózgu? No cóż, odpowiedź jest filozoficzna: zależy jak rozumiemy duszę. – Na przykład w typowym ujęciu chrześcijańskim każdy człowiek ma duszę, niezależnie od aktualnego stanu jego mózgu, a więc mówienie o siedzibie duszy byłoby nadużyciem – mówi Skrzypulec. Jeśli jednak materialistycznie przyjmiemy, że psychika to tylko mechanizm, a dusza jest tym, co integruje zmysły i daje poczucie „ja”, to zapłon świadomości może być umownie związany z duszą. Co dalej? Gdy już zbadamy tajemnicze przedmurze, lepiej zrozumiemy, jak powstaje świadomość. Dzięki temu być może kiedyś spróbujemy stworzyć duszę-świadomość od zera. W końcu biologiczne roboty, które zamiast metalowych ścięgien będą mieć żywe mięśnie, są już w zasięgu techniki. Czy w tym zasięgu są także roboty, które zamiast programów symulujących osobowość będą mieć pełnoprawną duszę? Zobaczymy.Tekst ukazał się w numerze 29 /2014 tygodnika "Wprost".
Najnowszy numer "Wprost" jest dostępny w formie e-wydania.
Najnowszy "Wprost" jest także dostępny na Facebooku.
"Wprost" jest dostępny również w wersji do słuchania.
Tygodnik "Wprost" można zakupić także za pośrednictwem E-kiosku
Oraz na AppleStore i GooglePlay
